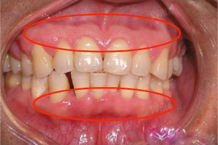
在深圳罗湖区HALO广场桃园路附近,不少人都在打听深圳弘意口腔门诊部怎么样。毕竟,牙齿问题不仅影响美观,还关乎饮食和健康,选择一家靠谱的口腔医院至关重要。大家担心遇到技术不佳的医生,导致治疗成效不理想;害怕遇到乱收费的情况,花了冤枉钱;还忧虑医院环境不卫生,引发其他口腔问题。这些担忧让患者在选择口腔医院时格外谨慎。别着急,接下来就为大家详细介绍深圳弘意口腔门诊部,帮您消除顾虑。

深圳弘意口腔门诊部介绍
深圳弘意口腔门诊部创设于2018年01月15日,公司注册地为深圳市罗湖区笋岗街道梨园路8号笋岗3号仓库整栋(HALO广场)3层301单元。这是一家有限职责公司,注册资本100万国币,法定代表人是秦刚,目前经营状态为存续。

医院软硬件设施
硬件方面,虽然资料未详细提及设备情况,但作为一家正规的口腔门诊部,想必会配备常见的口腔医疗设备,如数字化X光机等,以保护诊断和治疗的正确性。就诊环境上,通常会注重卫生和舒适,候诊区可能会有舒适的座椅和温馨的装饰,为患者营造良好的就诊氛围。
软件方面,从招聘信息来看,医院注重 医护人员的专精能力,招聘口腔护士要求能熟练四手操作。这意味着医院的医疗团队具备一定的专精素养,能够为患者提供较为专精的口腔服务。此外,医院应该会建立完善的服务体系,从患者进门的接待,到就诊过程中的引导和关注,都会尽力满足患者的需求。在收费方面,虽然曾出现过超标准收费造成医疗保护基金损失的情况,但目前该案涉及的医疗保险基金25164元已全部追回,且医院也受到了相应的处罚,相信之后会更加规范收费标准。

不同人群对医院的评价
虽然没有直接的患者评价资料,但从医院的整体情况来看,对于追求便捷就医的周边居民来说,深圳弘意口腔门诊部的地理位置较为优越,在HALO广场附近,交通便利。对于那些注重 医疗团队专精能力的患者,医院招聘要求体现出对医护人员专精技能的重视,可能会让他们感到放心。而对于担心乱收费的患者,经过此次事件,医院应该会更加透明收费,让患者明明白白消费。
总的来说,深圳弘意口腔门诊部有其自身的优势,虽然曾有过不良记录,但也进行了整改。如果您正在为选择口腔医院而烦恼,不妨在线点击询问客服,了解更多详细信息,再做决定。
参与讨论