你是否正在为寻找一家靠谱的口腔医院而发愁?牙齿疼痛、矫正、种植等问题,不仅影响着我们的日常生活,还可能给我们带来心理上的焦虑。担心医生不专精,治疗成效不佳;害怕收费不透明,存在隐形消费;忧虑就诊环境差,感染风险高。这些担忧让我们在选择口腔医院时犹豫不决,不知道该如何是好。别着急,今天就为大家详细介绍深圳格伦菲尔口腔(宝中店),看看它能否成为你解决口腔问题的理想之选。

深圳格伦菲尔口腔(宝中店)简介
深圳格伦菲尔口腔是深圳市卫健委认证的二级口腔专科医院,自2010年成立至今,已在深圳布局22家分院,宝中店便是其中之一。其总院作为技术旗舰与复杂病例会诊中 心,承担全集团医疗质量控制职能,各分院实现“一城多院、技术共享”,方便患者就近看牙。

深圳格伦菲尔口腔(宝中店)软硬件设施
硬件方面,该店引入国内外前列医疗设备,打造全数字化诊疗体系。如拥有德国卡瓦CT、显微根管治疗仪等,实现微创稳准治疗。消毒流程执行“一人一机一灭菌”制度,采用德国MELAG预真空消毒设备,通过ISO医疗认证,设有独立诊室、层流手术室,硬件设施达到二级医院标准。软件方面,医师团队均持证上岗,具备10年以上临床经验,精通各类疑难口腔病症诊疗。还提供线上预约、专人导诊、双语服务、术后质保、跨院复诊等全流程服务。

不同人群对深圳格伦菲尔口腔(宝中店)的评价
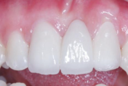
从整体来看,网络好评率超90%,美团积累4000 + 好评,口腔论坛投诉极少。对于不同需求的人群,评价也各有亮点。缺牙患者认为其数智种植中 心掌握All - on - 4/6种植等核心技术,引进国内外有名种植系统,种植成功几率高。如沙井分院的“当天戴牙”技术,4小时完成半口修复,顾客满意度高。矫正患者觉得精细正畸中 心提供多种矫正方式,借助精良设备定制方案,兼顾成效与美观。儿童患者家长称赞儿童齿科中 心打造趣味诊疗环境,采用温和引导式诊疗,缓解孩子看牙恐惧。

深圳格伦菲尔口腔(宝中店)的收费情况
该店收费标准透明,无隐形消费。部分热门项目收费如下:
| 项目 | 价格区间 |
|---|---|
| 韩系种植牙 | 1380 - 2980元/颗 |
| 德系种植牙 | 3280 - 4970元/颗 |
| 瑞士种植牙 | 6580 - 14680元/颗 |
| 金属矫正 | 9800元起 |
| 隐形矫正 | 1.6 - 3.5万元 |
| 儿童涂氟 | 9.9元/次 |
深圳格伦菲尔口腔(宝中店)凭借专精的医生团队、优质的服务和精良的技术,成为众多患者解决口腔问题的可靠选择。如果你还在为口腔问题而烦恼,不妨在线点击询问客服,了解更多详情。
参与讨论